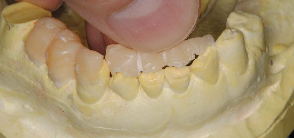
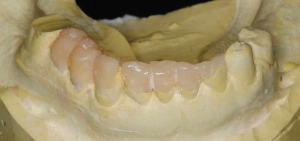
歯科医が歯科技工士に技工物のオーダーを出す時に口頭や書面では複雑な患者さんのケースではニュアンスを伝えるのに難しい場合があります。自分のイメージ通りに技工物ができてこない事も考えられます。私はこの記事の写真にあるような貼物を作る時は、作り方だけ院内の技工士に教わって自分で模型に蝋を盛り、プラスチックの仮歯に置き換える作業を行っています。恩師の先生から「歯科医もある程度の技工をしないと駄目だ。技工士のありがたみもわかる。」と過去に言われて以来、そうするようにしてきました。咬み合わせを最適なものにするには様々な知識や技術が必要になります。様々な考え方があります。私もまだまだわかっていないこと、会得していない技術があります。私は12月で65歳になります。歯科医人生の終盤と言えるかもしれません。今週末は矯正セミナー、来年初めに歯周外科セミナーに参加予定です。また8月から総合歯科臨床セミナーにも参加します。セミナー参加以外にも12月の初めには症例発表会が控えています。昔あった予備校のスローガンじゃないですが「日々是決戦」といったところでしょうか。












コメント