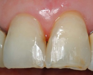
ダイレクトセラミック 2022 1/31 臨床アラカルト 2011年12月12日2022年1月31日 術前(左)術後(右) 真ん中の詰め物の変色がコンプレックスだったMさん。ダイレクトセラミック(1本10,500円)で修復。4種類の色を重ね合わせて、自然感を追求した。術後は「魔法のようですね」と感慨深げだった。歯科治療の中でもサイエンスというよりはアートの要素が強い治療だ。美大に入って、もっと美的感覚を研ぎ澄ませた方がいいかも。(長谷川) 臨床アラカルト 審美歯科 レジン充填 よかったらシェアしてね! URLをコピーしました! URLをコピーしました! プレゼンウィークエンド 水道橋歯周病勉強会とその後 関連記事 トラブルシューティング 2026年2月4日 80歳で矯正を希望された方 2025年12月26日 貼物作り 2025年11月27日 歯科は考古学? 2025年11月6日 奥歯の白い被せ物について 2025年6月2日 矯正とインプラントと補綴(被せ物)で審美と機能を回復中 2025年5月9日 圧下後の再生療法 2025年4月30日 卒後40年 2025年2月26日