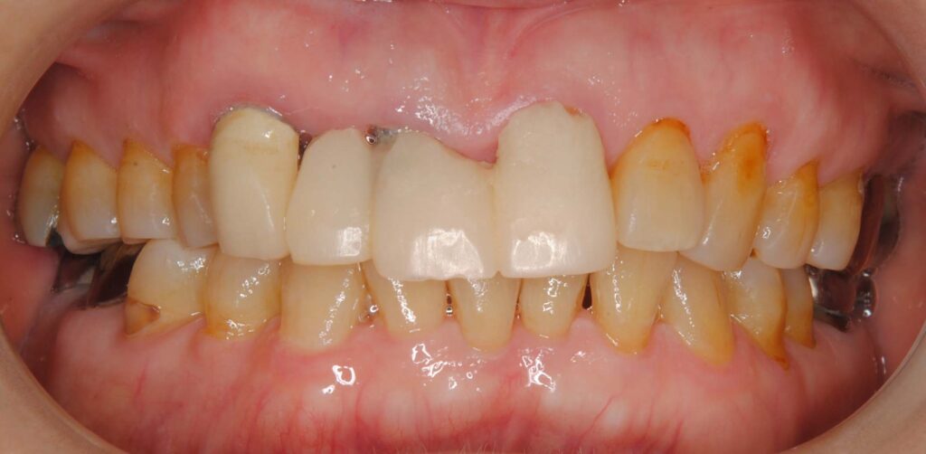
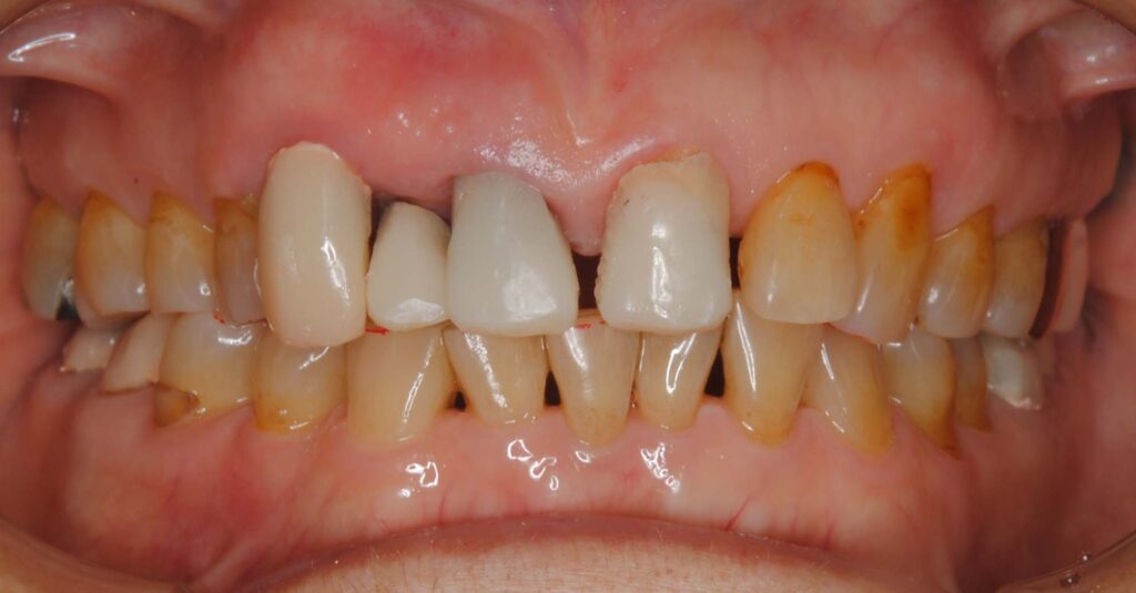
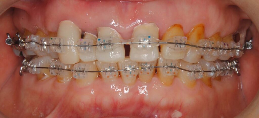
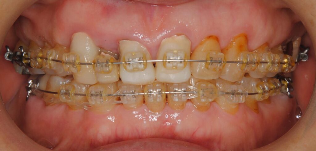
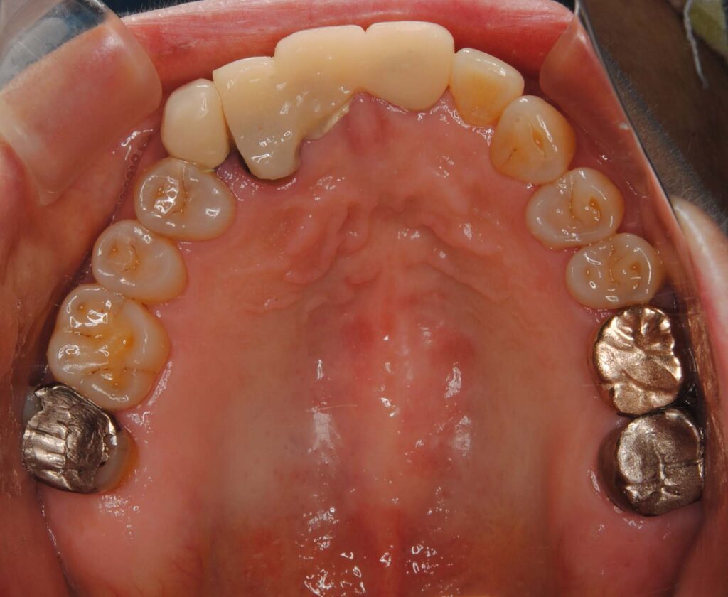
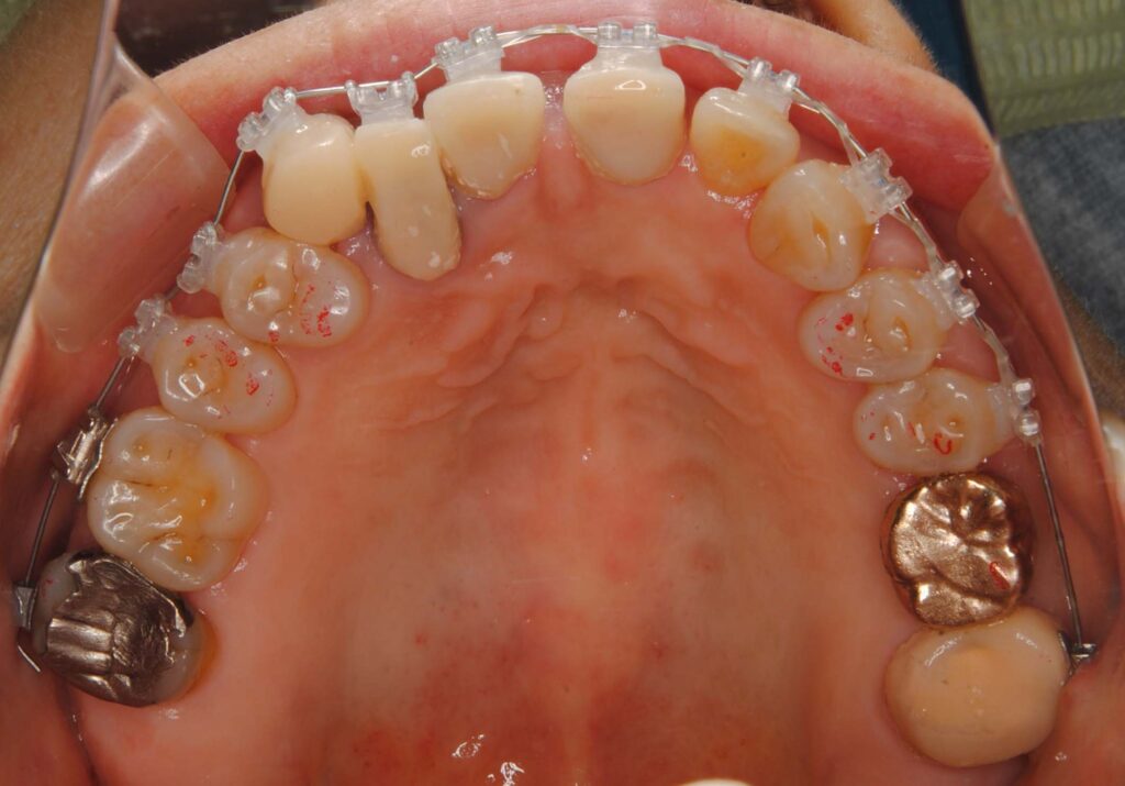
おいくつになられても、口の中がよくなりたい、綺麗になりたい、ちゃんとしたいと思われる方はいらっしゃるものです。80歳女性で矯正を希望された方です。30代の頃に審美歯科と称して前歯の治療を受けたそうです。ご本人は「歯が本来の大きさより大きくうちわみたいだ」と嘆いておられました。50年間近くの悩みを何とかして欲しいとの事でした。解決するのは矯正治療が欠かせませんでした。ご高齢なので、どうかなあと思いつつも説明したところ、「やります!」との事でした。幸い歯も無事に動いて最終的な被せ物に移行できそうです。










コメント