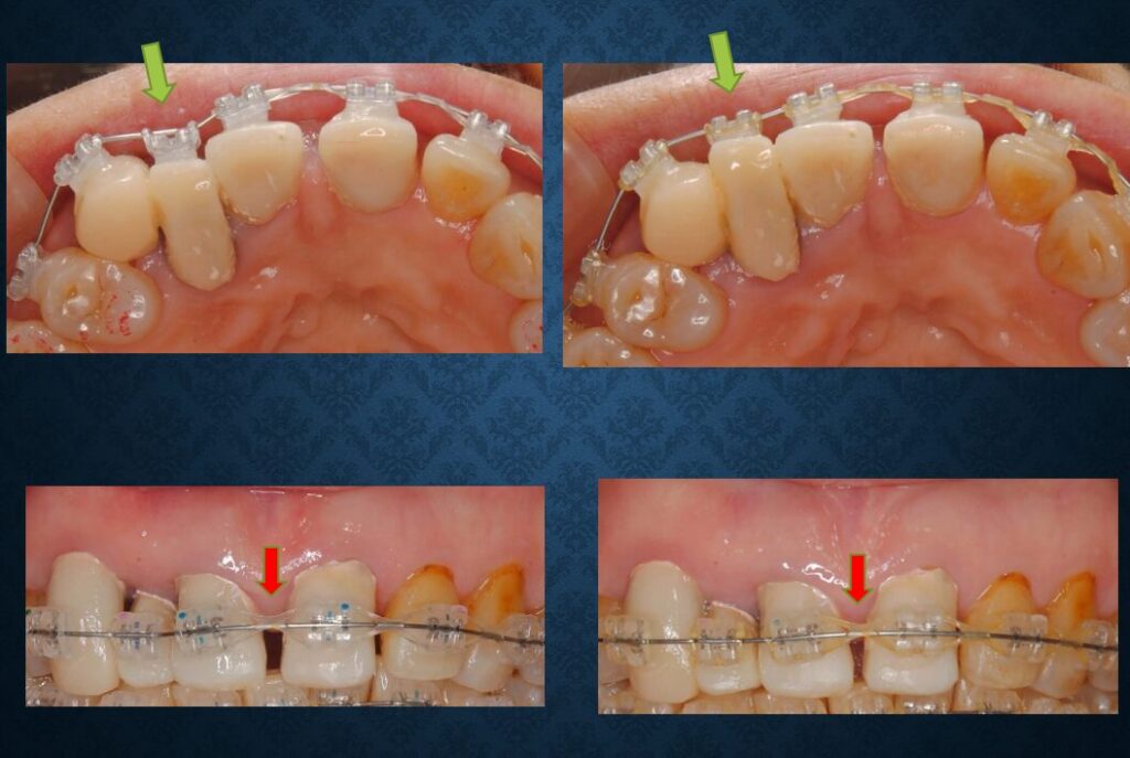
Kさんは80歳女性です。高額な補聴器をはじめ自分の体にはお金をかけたいとおっしゃっていました。数十年前に審美歯科と称して上の前歯の隙間を連結の被せ物で補綴されたそうですが、長年うちわみたいな歯で気になり続けていたとの事です。何とかならないかという事で矯正しか思いつかないと申し上げたところ、やって欲しいとの事でした。60歳代の方の矯正は何例か経験があったのですが、80歳代は私にとって初めてでした。初めに本来あった形態を想像して仮歯を装着し、矯正装置を先日装着しました。正月休みに入るのでその前にチェックしておきたかったので9日後に予約したところ、何とか違和感を受け入れていただけそうでした。歯も若干動き始めた事が確認できました。今後進展をいずれ報告できればと思います。





コメント