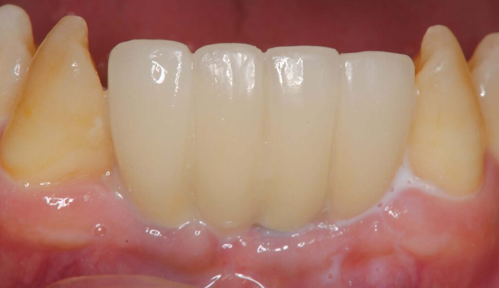
下顎前歯部インプラント 2026 3/09 臨床アラカルト 2026年2月17日2026年3月9日 歯周病で下顎の前歯を4本失った方です。最終的にこんな形で修復しました。 臨床アラカルト よかったらシェアしてね! URLをコピーしました! URLをコピーしました! 矯正実習セミナーに参加してきました。 博多歯周外科実習セミナー 関連記事 学んだばかりの技術を活かす(歯周組織再生療法) 2026年5月11日 患者さんから学ぶ 2026年4月20日 80歳の方の矯正 2026年3月24日 学んだ事を早速応用しました 2026年3月10日 トラブルシューティング 2026年2月4日 80歳で矯正を希望された方 2025年12月26日 貼物作り 2025年11月27日 歯科は考古学? 2025年11月6日 コメント コメントする コメントをキャンセルコメント ※ 名前 ※ メール ※ サイト 次回のコメントで使用するためブラウザーに自分の名前、メールアドレス、サイトを保存する。 上に表示された文字を入力してください。
コメント