前歯がぐらぐらだったHさん。典型的な歯周病だ。歯肉と歯根の間に潜り込んでいる歯石をとる基本治療で、歯茎がしまって、揺れが少なくなった。歯周ポケットも減少した。ただ、これだけでは歯を支えている溶けてしまった骨は再生しない。この後、連休明けに再生療法を行う予定。
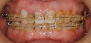
今日は、前歯の被せ物をはずして仮歯に交換した(写真)。患者さんサイドが歯並びを元々気にされていたのと、こちらサイドも仮歯にしておいた方が手術がやりやすい。
煙草も10年前に辞めたそうで、歯周外科をやる上では、ありがたい(というか禁煙は必須だけど)。メンテナンスにいらしてなかったHさんだが、12年前のレントゲンと、今のを比較した状況(骨が溶けてしまっている状況)をお見せし、今回の基本治療で歯周ポケットと動揺度が改善した状況を示したところ、「やっぱり、しょっちゅう来ないと駄目なんだね」と納得されていた。「先生の好きなようにやっていいよ」と快く再生療法に同意された。
今年の症例報告で福岡の水上哲也先生にアドバイスされたことを心に留めながら、行いたい。連休明けが楽しみだ。ある人が「仕事だと思うな、人生だと思え」を座右の銘にしていたが、自然にそう思える。仕事が充実していないと、どんなに遊ぶ時間や金があっても(ないけど・・・)つまらない。(長谷川)
再生療法の準備



