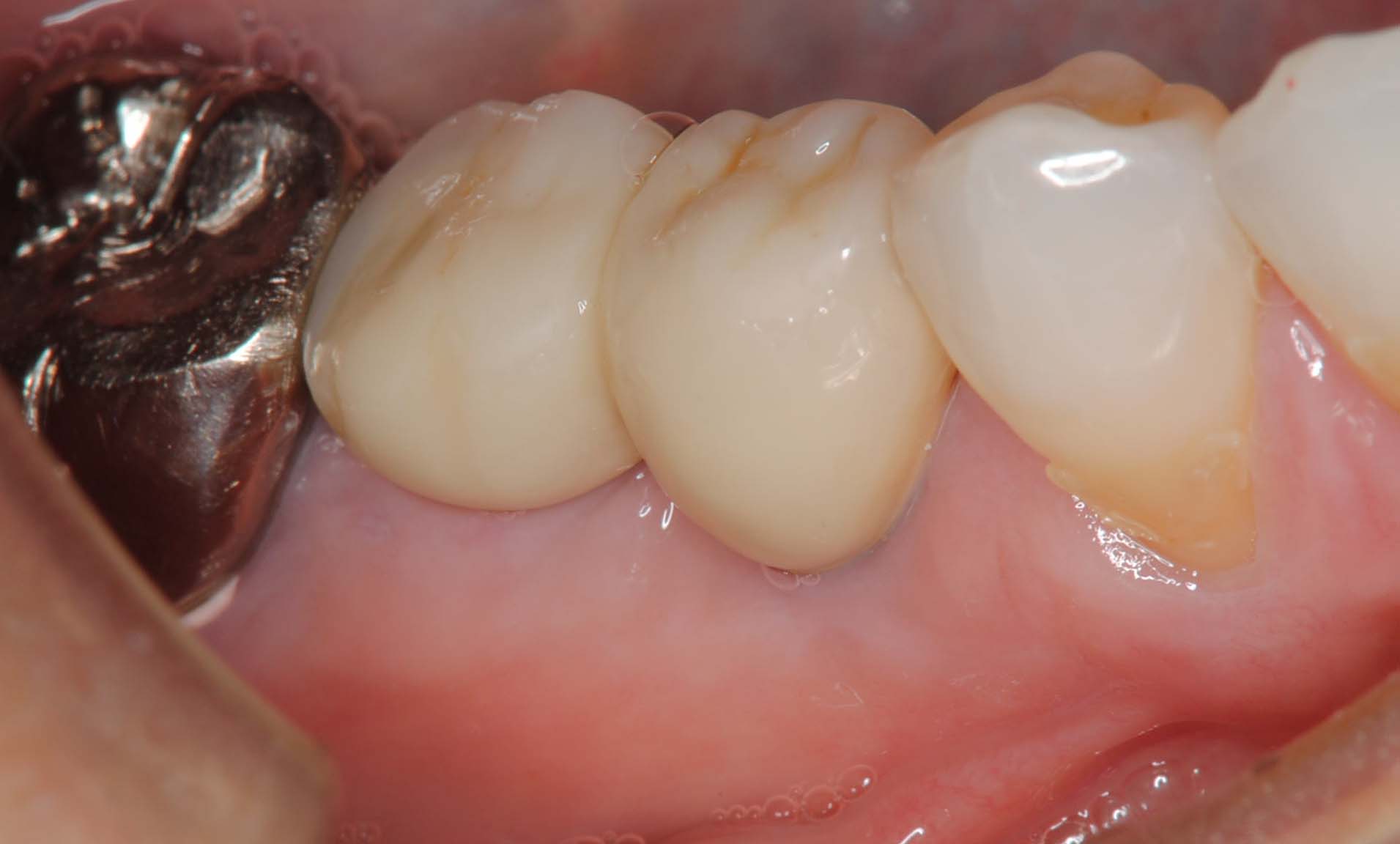
奥歯のインプラントのケースです。インプラントを埋入するには骨が不足していましたが顎骨のすそ野の部分でのインプラントの初期固定は可能と判断しました。予定通りインプラントが露出した部分には骨造成も一緒に行いました。骨とインプラントがくっつく時期、すなわちオペから3か月後に被せものを装着しました。固定が困難と予想される場合には骨造成のみを行い、6か月以上新しく骨が熟成するのを待ってからインプラントを入れて、さらに3か月後に被せものなので、初期固定ができるかできないかで治療期間は大きく変わります。
奥歯のインプラント






コメント