マスコミにたたかれまくっているインプラントと日本の歯科医。私は、国産インプラントを20年ちかく使用してきたが、5年前ほどにメーカーがモデルチェンジしてから、インプラント周囲炎が多発し、対処に追われていた。どのメーカーのものであれ、インプラント脱落はあるが、インプラント周囲の骨も、ごっそり吸収してしまう今回のタイプは、他のユーザーはどうあれ、少なくとも私には使用に耐えない。下のケースも、その例だ。この患者さんは、私の所属しているスポーツクラブでもロッカールームで会ってしまうため、診療室でも、プライベートでも気まずい思いをお互いにしてきた。リカバリーには欧州のメーカーのインプラントを使用した。これで駄目なら、患者さんの素因などが関与していると言えるかもしれないし、これでもてば、前インプラントに問題があると言える。20年インプラント臨床をやってきて、経験したことのない失敗だったので、本当に面喰ってしまった。これ以上、患者さんに迷惑をかけたくない。世界的に実績のある欧州メーカーインプラントで、しばらくは対応したい。(長谷川)

国産メーカーインプラント使用で補綴して1年後。経過は順調だった。著名な指導医も「一生もつんじゃないか」とコメントするほどに・・・

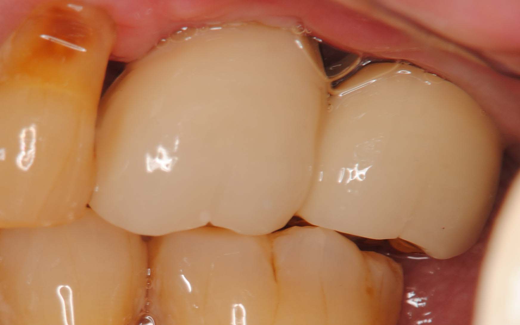
補綴後3年弱。インプラント周囲炎が判明。インプラント撤去後の骨欠損。






