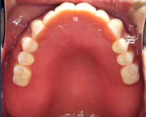
全顎治療の方が先日ようやく終わった。左写真が術前、右写真が術後である。コロナのせいで治療間隔があいてしまい予定よりも3か月遅れである。患者さんは職場が4月から変わり大手町から離れてしまったのとコロナのダブルパンチを食らってしまった。来院される際には半日休みをとったとのことだったので、まとめてできるところはまとめて2時間以上のアポをとって行った。ミスは許されないプレッシャーもあった。自分が若いころにはどうやって治療していいか皆目見当がつかないようなぐちゃぐちゃな口腔内だったが、今はシンラシステムという咬合診断装置があるので、こうしたケースにも対応できる。というかむしろ歓迎である。創造力が掻き立てられるのだ。仮歯の時におきたトラブルも参考にして最終的な材質を選択した。見た目よりも強度が必要なケースだった。術後の租借能力検査、咬合力検査では基準値以上の値を示し、まずまずの咀嚼器を作れたのではないかと自負したいところだが、本当の勝負はこれからである。長期間壊れないように祈るばかりである。
咬み合わせの再構築(東京大手町勤務歯科医の全顎治療ブログ)












コメント