-
その他
NTセミナー
ちょっと前の話ですが、先月末に、長崎県の平戸に近い生月島でのセミナーに行ってきました。Natural Teethという医院名で開業されている高崎先生の主催するユニークなセミナーです。何がユニークかと言うと、すべてにおいてですが、技術的なことあり、マ... -
その他
ニール・アームストロング
数日前の話になりますが、アメリカのアポロ11号で人類で初めて月面に降り立った元宇宙飛行士のニール・アームストロングさんが亡くなりました。 英国経済紙のエコノミストの巻末には、直近で亡くなられた偉人の追悼文がいつも載っているのですが、アームス... -
English blog
Japan tourism and Ikitsuki island in Nagasaki
Ikitsuki island in Ngasaki prefecture in Japan is blessed with stunning scenery throughout this adorable part of Japan.If you have a car, and a day to spare, then you may certainly want to consider paying a visit to this island, located ... -
English blog
gourmet tour in north west Kyushyu Japan
As a dentist, I have to keep studying to get up-to-date knowledge and technique in dentistry. I live and work in Tokyo, but I like to have a business trip in Kyushyu, a big south island, though it takes over 4 hours. Because I can enjoy ... -
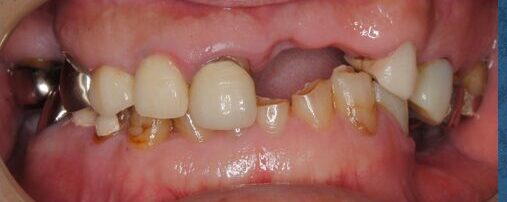
臨床アラカルト
大工事?
上下の歯が、ほとんど噛み合ってなく、抜けてそのままになっているところなど、いわゆる口の中の大工事が必要だったMさんも、矯正やインプラントの処置を通じて、ようやくゴールが見えてきました。 口の中の大幅な環境の変化に、ついていらっしゃれるかど... -
臨床アラカルト
総入れ歯の患者さん
総入れ歯治療は、歯が残っていない状態で、勝負しなければなりません。口の中でパカパカはずれないように、きちっと機能する義歯を作るのは、歯科医にとって、ある意味、腕の見せ所と言えます。 一昨日、総入れ歯の患者さんに、完成した義歯をお渡しし、昨... -
その他
被害者意識を捨てる
定期購読している英国経済紙エコノミストの記事の英語は時として私にとって難解です。1ページの記事を読むのに、通勤電車乗車時間(約35分)いっぱいかかることも、まれではありません。 今日の帰りの車内では、ロンドンオリンピックと中国に関するエッセ... -
その他
天秤
先日、歯周病学会から案内がきました。関東支部教育研修会で、我々の業界では有名な方による「歯周外科がもっとうまくなりたい」(切除療法から再生療法までテクニックを中心に)という演題で、特別講演が行われるというものです。 講師の方については、歯... -
その他
油断大敵
どんなに経験を積んでも、人の体は千差万別ゆえ、油断大敵です。どんなに、CTなどの診断機器が発達しても、実際のオペでは、術前の予想と若干の違いがあったりします。そんな時でも、あわてず、舞い上がらず、冷静に対処することが求められます。先日のイ... -
その他
交流
東京神田で行われた咬み合わせのセミナー6回目(8月18日、19日)も無事終了しました。毎月1回のペースで、後3回あります。 セミナーに参加する目的は、無論新しい技術や知識を習得し、患者さんの治療に役立てることです。しかし、それ以外にも受講生...
