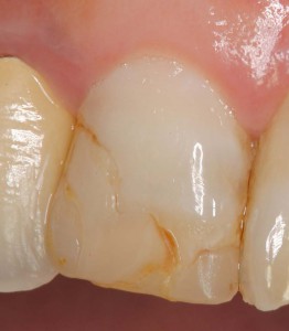
前歯の詰め物 2022 1/31 臨床アラカルト 2011年6月2日2022年1月31日 前歯の詰め物の変色が目立ってきたK銀行のFさん。レイヤリング(様々な色を積層していくこと)において、バックの色や厚みを見直す必要があるか。審美歯科で活躍されている福岡のH先生のセミナーノートをもう一度見返してみよう。 臨床アラカルト 審美歯科 CR よかったらシェアしてね! URLをコピーしました! URLをコピーしました! 基本の積み重ね 睡眠障害と歯科(International Journal of Sleep Medicineから) 関連記事 患者さんから学ぶ 2026年4月20日 80歳の方の矯正 2026年3月24日 学んだ事を早速応用しました 2026年3月10日 下顎前歯部インプラント 2026年2月17日 トラブルシューティング 2026年2月4日 80歳で矯正を希望された方 2025年12月26日 貼物作り 2025年11月27日 歯科は考古学? 2025年11月6日